ایمپلنت های دندانی یکی از پیشرفته ترین روش های جایگزینی دندان های از دست رفته در دندانپزشکی مدرن هستند. این روش با هدف بازگرداندن عملکرد طبیعی، زیبایی لبخند و جلوگیری از تحلیل استخوان فک انجام می شود. در گذشته بیشتر ایمپلنت ها از جنس تیتانیوم ساخته می شدند، اما امروزه نوع جدیدی به نام ایمپلنت زیرکونیا نیز وارد عرصه درمان شده است. تفاوت این دو ماده نه تنها در ترکیب شیمیایی بلکه در عملکرد بالینی، زیبایی، سازگاری با بافت بدن و ماندگاری آن ها است. در این مقاله به طور کامل تفاوت های ایمپلنت زیرکونیا و تیتانیوم، مزایا و معایب هر کدام و میزان دوام و استحکام آن ها بررسی می شود.

این مقاله صرفاً جهت اطلاع رسانی و افزایش آگاهی است و به هیچ عنوان جایگزین نظر یا درمان پزشک متخصص نمی شود. تصمیم نهایی برای انتخاب نوع ایمپلنت باید توسط متخصص ایمپلنت و بر اساس شرایط سلامت دهان، استخوان فک، سن، و عوامل زیبایی بیمار گرفته شود. در ادامه با نگاهی به آخرین تحقیقات جهانی تا سال ۲۰۲۵، برتری ها و محدودیت های هر نوع ایمپلنت را مورد بررسی دقیق قرار می دهیم تا بتوانید انتخابی آگاهانه در درمان های دندانی خود داشته باشید.
فهرست مطالب
- تعریف ایمپلنت زیرکونیا و تیتانیوم
- تفاوت ترکیبات و ساختار فیزیکی دو نوع ایمپلنت
- مزایا و معایب ایمپلنت تیتانیومی
- مزایا و معایب ایمپلنت زیرکونیا
- تفاوت در زیبایی و هماهنگی با بافت دهان
- مقایسه مقاومت و ماندگاری در درازمدت
- تفاوت در احتمال واکنش آلرژیک یا التهاب
- انتخاب مناسب برای بیماران خاص
- نتیجه گیری نهایی
- سوالات متداول
تعریف ایمپلنت زیرکونیا و تیتانیوم
ایمپلنت تیتانیوم از فلز تیتانیوم ساخته شده است که از دهه ۱۹۶۰ میلادی مورد استفاده دندانپزشکان جهان قرار گرفته و به دلیل استحکام بالا و توانایی در اتصال به استخوان فک (فرایند اوسئواینتگریشن یا همجوشی استخوانی) شهرت دارد. این ماده از نظر زیست سازگاری بسیار قابل اعتماد است و در جراحی های ارتوپدی و دندانی کاربرد گسترده ای دارد.

در مقابل، ایمپلنت زیرکونیا از ماده ای سرامیکی با پایه دیاکسید زیرکونیوم تولید می شود که کاملاً بدون فلز است. این نوع ایمپلنت به دلیل رنگ سفید و ظاهری نزدیک به دندان طبیعی، بیشتر در نواحی زیبایی دهان (مانند دندان های جلویی) مورد استفاده قرار می گیرد. زیرکونیا به طور طبیعی در برابر خوردگی و تجمع باکتری مقاوم است و گزینه ای مناسب برای بیمارانی است که حساسیت یا آلرژی به فلز دارند.

تفاوت ترکیبات و ساختار فیزیکی دو نوع ایمپلنت
تیتانیوم از یک فلز سبک ولی فوق العاده مقاوم تشکیل شده و قابلیت ساخت ایمپلنت با قطعات سازگار مانند فیکسچر، اباتمنت و تاج را دارد. خاصیت انعطاف پذیری آن باعث می شود تا فشارهای ناشی از جویدن به خوبی در استخوان توزیع شود. در مقابل، زیرکونیا ماده ای سرامیکی و شکننده تر است که با تکنولوژی نانو و فرآیندهای حرارتی خاص، به شکل فیکسچرهای بسیار مقاوم تولید می شود.

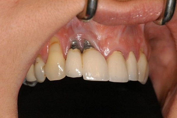
یکی از تفاوت های بارز این دو در رنگ است؛ تیتانیوم رنگ خاکستری دارد و در برخی موارد ممکن است از زیر لثه یا تاج دندان قابل مشاهده باشد. اما زیرکونیا رنگ سفید یا عاجی داشته و به همین دلیل در ناحیه های قابل دید عالی عمل می کند. همچنین، زیرکونیا رسانای حرارت و الکتریسیته نیست و نسبت به تیتانیوم از نظر انتقال حرارت دهان، مزیت دارد.

مزایا و معایب ایمپلنت تیتانیومی
از مهمترین مزیت های ایمپلنت تیتانیوم می توان به دوام بالا، سازگاری کامل با استخوان و قابلیت استفاده در انواع شرایط استخوانی اشاره کرد. مطالعات انجام شده در مجله Journal of Clinical Implant Dentistry نشان می دهد که نرخ موفقیت تیتانیوم در بلندمدت بیش از ۹۵ درصد است. این نوع ایمپلنت در همه استخوان های فک، چه تراکم بالا و چه پایین، قابل کاربرد است.
اما یکی از معایب تیتانیوم ظاهر فلزی آن است که در برخی موارد باعث تغییر رنگ نواحی لثه یا شفاف شدن رنگ پایه دندان می شود، به ویژه در افراد با لثه نازک. همچنین در درصدی از بیماران، احتمال حساسیت یا التهاب موضعی در اطراف بافت نرم گزارش شده است، هرچند بسیار نادر است. با وجود این معایب، همچنان تیتانیوم انتخاب اول بیشتر پزشکان برای ایمپلنت های کلاسیک به شمار می رود.

مزایا و معایب ایمپلنت زیرکونیا
ایمپلنت زیرکونیا به عنوان نسل مدرن ایمپلنت ها شناخته می شود. رنگ طبیعی و عدم وجود فلز باعث می شود کاملاً شبیه دندان طبیعی باشد و در بیماران حساس به فلز گزینه ایده آل محسوب شود. علاوه بر این، سطح صاف زیرکونیا رشد باکتری ها را کاهش داده و احتمال التهاب لثه یا پری ایمپلنتیت را کم می کند.
اما از نظر مقاومت مکانیکی، زیرکونیا هنوز به اندازه تیتانیوم در برابر فشارهای طولانی مدت (نظیر نیروهای جویدن در ناحیه عقب فک) عملکرد ندارد. همچنین نصب و ترمیم آن نیازمند دقت بالا است زیرا این ماده خاصیت خم شدگی ندارد و در صورت وارد شدن نیروهای اضافی ممکن است ترک بردارد. در نتیجه در نواحی پشت فک یا بیماران با الگوی جویدن شدید، بهتر است با نظر پزشک نوع تیتانیوم انتخاب شود.
تفاوت در زیبایی و هماهنگی با بافت دهان
زیبایی یکی از عوامل مهم در انتخاب نوع ایمپلنت است. ایمپلنت های زیرکونیا از نظر رنگ و شفافیت بسیار مشابه دندان طبیعی هستند و در مقابل نور تغییر رنگ نمی دهند. این ویژگی برای بیمارانی که دندان های جلویی خود را از دست داده اند بسیار ارزشمند است.
در مقابل، ایمپلنت تیتانیوم ممکن است در برخی افراد باعث تیرگی ظریف لثه در ناحیه کاشت شود، به خصوص اگر ضخامت لثه کم باشد. البته می توان با طراحی تاج های سرامیکی و روکش های آستری این مشکل را تا حد زیادی رفع کرد، اما به طور کلی زیرکونیا از نظر زیبایی ظاهری انتخابی برتر محسوب می شود.
مقایسه مقاومت و ماندگاری در درازمدت
پایداری و طول عمر ایمپلنت های دندانی از مهم ترین معیارهای موفقیت درمان ایمپلنت محسوب می شود. مطالعات انجام شده در معتبرترین ژورنال های دندانپزشکی مانند Clinical Oral Implants Research و International Journal of Implant Dentistry نشان داده اند که ایمپلنت های تیتانیومی از نظر استحکام در برابر فشارهای جویدن و دوام استخوانی در جایگاه بالاتری نسبت به زیرکونیا قرار دارند. تیتانیوم قابلیت انعطاف نسبی دارد و این ویژگی باعث توزیع یکنواخت نیرو در استخوان فک شده و خطر شکست فیکسچر را به حداقل می رساند. میانگین عمر مفید این نوع ایمپلنت در شرایط نگهداری مناسب، بین ۲۰ تا ۲۵ سال برآورد شده است و در بیش از ۹۵ درصد موارد بدون نیاز به تعویض عمل می کند.

در مقابل، ایمپلنت های زیرکونیا به دلیل سرامیکی بودن ساختار، مقاومت بسیار خوبی در برابر خوردگی، اکسید شدن و سایش دارند ولی شکننده ترند. این نوع ایمپلنت کمتر دچار تغییر رنگ یا تجمع باکتری می شود و برای بیماران با وضعیت بهداشت دهان عالی انتخاب مناسبی است. با این حال، نرخ شکست مکانیکی یا ترک مویی در طول سال ها حدود ۲ تا ۴ درصد گزارش شده است. دوام میانگین این نوع ایمپلنت حدود ۱۵ سال است، گرچه در شرایط بهینه و مراقبت دقیق می تواند به بیش از این مقدار برسد. بنابراین از نظر زیبایی و سازگاری با بافت نرم، زیرکونیا برتری دارد اما از نظر پایداری و تحمل نیروهای فشاری، تیتانیوم گزینه قابل اعتمادتر است.
در انتخاب نوع ایمپلنت باید توجه داشت که محل کاشت نقش تعیین کننده دارد. در ناحیه های جلویی دهان (ناحیه زیبایی)، زیرکونیا با نتایج زیبایی درخشان همراه است؛ اما برای نواحی خلفی که فشار جویدن بیشتر است، ایمپلنت تیتانیومی دوام بیشتری خواهد داشت. همچنین مراقبت های پس از درمان مانند رعایت بهداشت دهان، مراجعه منظم به دندانپزشک و جلوگیری از ساییدن دندان ها در حفظ ماندگاری هر دو نوع بسیار موثر هستند.
جدول مقایسه ایمپلنت تیتانیوم و زیرکونیا از نظر مقاومت و ماندگاری
| ویژگی ها | ایمپلنت تیتانیوم | ایمپلنت زیرکونیا |
|---|---|---|
| نوع ماده | فلز خالص با آلیاژهای سبک | سرامیک دیاکسید زیرکونیوم (بدون فلز) |
| استحکام در برابر فشار جویدن | بسیار بالا، انعطاف پذیر | بالا ولی شکننده در فشار زیاد |
| میزان دوام متوسط | ۲۰ تا ۲۵ سال یا بیشتر | ۱۲ تا ۱۵ سال |
| احتمال شکست مکانیکی | کمتر از ۱ درصد | حدود ۲ تا ۴ درصد |
| مقاومت در برابر خوردگی | بالا ولی ممکن است در محیط مرطوب اندکی اکسید شود | بسیار بالا و غیر قابل خوردگی |
| ظاهر و رنگ | خاکستری یا نقرهای | سفید طبیعی مشابه دندان |
| مقاومت در برابر تجمع پلاک باکتریایی | متوسط | زیاد (سطح صافتر و کمتر جذب پلاک) |
| مناسب برای نواحی جلو دهان | نسبتا مناسب، اما احتمال تیرگی لثه وجود دارد | عالی و هماهنگ با رنگ دندان |
| مناسب برای نواحی عقب دهان | بسیار مناسب و مقاوم در برابر فشارهای زیاد | کمتر مناسب، به دلیل شکنندگی نسبی |
| احتمال نیاز به ترمیم یا تعویض در درازمدت | کم | متوسط |
| سازگاری با استخوان فک (اوسئواینتگریشن) | بسیار بالا | بالا ولی کندتر از تیتانیوم |
| نتیجه نهایی در طول زمان | کاربرد طولانی، پایدار و مقاوم | زیبا، طبیعی ولی با دوام کمتر |
مطالعات جدید نشان داده اند که در بیماران با تراکم استخوان پایین یا سابقه تحلیل استخوان فک، تیتانیوم عملکرد تثبیت شده تری دارد و درصد موفقیت بالاتری نشان می دهد. از طرف دیگر، در بیماران جوان یا افراد با لثه نازک که ظاهر دندان اهمیت دارد، زیرکونیا به علت رنگ طبیعی و غیر فلزی بودن، جلوه زیباتری به لبخند می دهد.
بنابراین برای دستیابی به بیشترین ماندگاری، معمولاً پزشک متخصص ایمپلنت بر اساس موقعیت دندان، جنس استخوان، سن بیمار و عادات دهانی مانند دندان قروچه تصمیم گیری می کند. در مجموع اگر ماندگاری، استحکام و کارایی در اولویت باشد تیتانیوم انتخاب برتر محسوب می شود، اما اگر زیبایی و بیولوژیکی بودن بیشترین اهمیت را داشته باشد زیرکونیا گزینه ایده آل است.
تفاوت در احتمال واکنش آلرژیک یا التهاب
تیتانیوم به طور کلی ماده ای زیست سازگار است، اما در درصد بسیار کمی از افراد ممکن است واکنش های آلرژیک به فلز ایجاد شود که باعث التهاب یا قرمزی در ناحیه لثه می شود. در چنین شرایطی، ایمپلنت زیرکونیا که کاملاً فاقد فلز است گزینه ای امن تر خواهد بود.
از سوی دیگر، زیرکونیا سطحی صاف تر و غیر رسانا دارد که مانع از تجمع باکتری می شود، بنابراین خطر پری ایمپلنتیت (التهاب اطراف ایمپلنت) در آن کمتر است. این ویژگی برای بیماران با سابقه التهاب های مزمن دهان یا افراد دارای سیستم ایمنی ضعیف بسیار سودمند است.
انتخاب مناسب برای بیماران خاص
انتخاب بین تیتانیوم و زیرکونیا وابسته به شرایط فردی بیمار است. بیمارانی که به زیبایی اهمیت بیشتری می دهند یا لثه نازک دارند، زیرکونیا می تواند گزینه بهتری باشد. اما برای بیماران با تراکم استخوان پایین یا نیاز به تحمل فشار زیاد هنگام جویدن، تیتانیوم همچنان انتخاب برتر است.
علاوه بر این، در بیماران دارای حساسیت فلزی یا بیماری های خودایمنی، زیرکونیا به دلیل عدم وجود یون های فلزی توصیه می شود. پزشکان متخصص معمولاً با بررسی دقیق عکس رادیوگرافی، تراکم استخوان و موقعیت ایمپلنت، نوع مناسب را پیشنهاد می کنند تا بیشترین دوام و موفقیت درمانی حاصل شود.
نتیجه گیری نهایی
به طور کلی، هر دو نوع ایمپلنت زیرکونیا و تیتانیوم از فناوری های پیشرفته دندانپزشکی محسوب می شوند و عملکرد موفقی دارند. تیتانیوم از نظر مقاومت و طول عمر گزینه ای تضمین شده است، در حالی که زیرکونیا از نظر زیبایی، ضد التهاب بودن و عدم حساسیت فلزی مزیت دارد. اگر هدف اصلی زیبایی و هماهنگی کامل با رنگ دندان ها باشد، زیرکونیا انتخاب ایده آل است؛ اما برای دوام بلندمدت و ماندگاری بیشتر، تیتانیوم همچنان برتر باقی می ماند. توصیه می شود انتخاب نوع ایمپلنت همیشه با مشاوره دقیق پزشک متخصص و بر اساس شرایط اختصاصی هر بیمار انجام شود.
سوالات متداول (FAQ)
۱. آیا ایمپلنت زیرکونیا به اندازه تیتانیوم مقاوم است؟
زیرکونیا مقاومت بالایی دارد اما در فشارهای طولانی مدت مانند ناحیه دندان های آسیاب ممکن است شکننده تر عمل کند. تیتانیوم از نظر تحمل فشار در درازمدت مقاوم تر است.
۲. آیا ایمپلنت زیرکونیا باعث التهاب یا حساسیت می شود؟
خیر، زیرکونیا فاقد فلز است و احتمال آلرژی یا التهاب در اطراف آن بسیار کم است. به همین دلیل برای بیماران حساس به فلز بسیار مناسب است.
۳. کدام نوع ایمپلنت ماندگاری بیشتری دارد؟
مطالعات جدید نشان می دهند ایمپلنت تیتانیوم با عمر مفید حدود ۲۰ تا ۲۵ سال ماندگاری بیشتری نسبت به زیرکونیا دارد. هرچند زیرکونیا نیز در شرایط بهینه تا حدود ۱۵ سال دوام قابل قبول دارد.
منابع و رفرنس علمی
- Journal of Clinical Implant Dentistry, 2024
- International Journal of Oral Implantology, 2023
- Dental Materials Review, 2025





